Mega Veneers Special Price
Veneers from ¥3000 per tooth,¥2500 off market price.
As thin as 0.2mm
Minimally invasive or no grinding needed
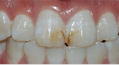
Tooth discoloration
-
Yellow teeth
-
Stained teeth
-
Tea stained teeth
-
Fluorosis teeth
-
Tetracycline teeth
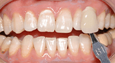
Scientific Whitening • Safe and Effective
- Cold Light Whitening
- Veneer Whitening
- Cleaning and Polishing
- Crown Whitening
-
Indications: Yellow teeth, black teeth, stained teeth.
High-intensity colored light spot irradiation removes surface pigment deposits and deep-attached pigments, giving you bright, lustrous white teeth.
-
Indications: Mild tetracycline teeth, fluorosis teeth.
Ceramic veneers, resin veneers, etc. are attached to the tooth surface to beautify front teeth and enhance smiles by changing the color, size, and shape of front teeth.
-
Indications: Yellow teeth, black teeth, stained teeth.
Removes plaque and pigment components from the tooth surface, helping teeth restore their natural luster.
-
Indications: Severe tetracycline teeth, fluorosis teeth, black teeth.
Not only aligns teeth but also changes tooth color, achieving orthodontic and aesthetic results in one step for comprehensive one-stop dental treatment.
Ultra-thin Veneers • Digital Aesthetic Restoration
Veneers are a type of teeth whitening restoration technology. Veneer restoration involves bonding a layer of material similar to normal tooth color on discolored or damaged tooth surfaces to achieve whitening or restoration effects. This technology has been widely used in dental medicine and is popular with consumers.
Popular veneers can be divided into two types: resin veneers and porcelain veneers, which are popular dental cosmetic methods.
Complete Aesthetic Restoration Process
-
1
Comprehensive Oral Examination and Aesthetic Analysis
The doctor conducts a comprehensive basic examination of the oral condition with necessary basic treatment, then provides recommendations for aesthetic restoration solutions based on the dental situation.
-
2
DSD Aesthetic Design, One-on-One Personalized Plan
Using the DSD digital system for precise data analysis, analyzing and processing through reference lines such as dental arch midline, smile line, and dental plane to achieve personalized smile and aesthetic effects.
-
3
Creating Wax Model to Preview Aesthetic Effect
Dental technicians work with aesthetic physicians to create and adjust aesthetic preview wax models, allowing you to preview the veneer effect in advance.
-
4
Taking Dental Impressions for Processing and Manufacturing
Based on the adjusted wax model, the final plan is determined, oral models are taken, and digital technology is used to create dental veneers.
-
5
Precise Color Matching for Natural Aesthetics
The aesthetic physician combines facial aesthetic analysis, using a shade guide for precise color matching to determine the final aesthetic veneer color.
-
6
Preliminary Try-on and Comfort Adjustment
The aesthetic physician tries on the final veneers in the mouth and makes optimizing adjustments to determine the final wearing plan.
-
7
Veneer Placement and Regular Follow-up
Based on the adjusted try-on plan, the aesthetic physician performs the final bonding of the veneers, completing the treatment. Annual regular follow-up examinations are scheduled.
DSD Digital Smile Design
Vickong Dental chain integrates DSD Digital Smile Design into dental restoration treatment. Doctors develop oral restoration plans that match customers' teeth and facial features according to oral aesthetic standards.
-
Pre-op wax models to preview aesthetic results
-
DSD smile design to customize tooth shape with smile line analysis
-
Aesthetic care with personal follow-up by expert doctors
Vickong Dental Aesthetic Advantages
-
Aesthetic Expert Team and Brand Advantages
Vickong Dental chain brand's dental aesthetic restoration specialty brings together renowned dental experts from China and Korea, certified by Digital Aesthetic Centers, with close technical cooperation with multiple dental aesthetic brands including US-Canada and Emax.
-
DSD Smile Aesthetic Design Application
Based on dental gaps and anterior tooth damage, combined with facial aesthetic analysis, DSD technology evaluates the relationship between smile and teeth, determining anterior gingival height, length-width-height, and size proportions for accurate and rapid veneer design.
-
Wax Model Demonstration, Preview Aesthetic Effect
Aesthetic wax models are created on dental models in advance to preview the aesthetic effect after veneer placement, then guide veneer production based on the wax model, avoiding multiple tooth preparations that could damage natural teeth.
-
High-end Digital Immediate Aesthetics
Equipped with digital equipment for precise measurement and evaluation based on actual dental conditions, fully digital diagnosis and treatment can achieve "no grinding or minimal grinding" of teeth, with immediate digital oral scanning and 3D printing center, allowing same-day treatment and veneer placement at the fastest.
-
One-on-One Doctor Accompaniment
Each case is independently followed up and specially handled by orthodontic experts, ensuring each patient has "exclusive accompaniment" from professional doctors throughout the lengthy orthodontic process.
-
Veneer Maintenance and Guarantee
Enjoy 2-5 years of free check-ups after veneer placement, with timely follow-up to ensure veneer effectiveness.
Dental Aesthetics Price List
Dental veneers are a key aesthetic solution for yellowing, gaps, tetracycline stains, and fluorosis—restoring a confident, beautiful smile.
| Veneer Material | Unit | Price |
|---|---|---|
| Resin Whitening Veneers | Each | 1800 CNY |
| e-max Whitening Veneers | Each | 2800 CNY |
| US-Canada Ultra-thin Veneers | Each | 3800 CNY |
Porcelain-fused-to-metal crowns have a metal core and ceramic exterior.
All-ceramic crowns are metal-free, tooth-colored, and offer a more natural look.
| Crown Material | Unit | Price |
|---|---|---|
| Cobalt-Chromium Alloy Porcelain Crown | Each | 799 CNY |
| Emax All-Ceramic Crown | Each | 1500 CNY |
| German Imported All-Ceramic Crown | Each | 2800 CNY |
Popular Questions
Q & A
-
1QWhat is cold light whitening?ACold light whitening is a fast, safe method that uses low-temperature light and hydrogen peroxide to brighten teeth without causing sensitivity.
-
2QWhy do teeth turn yellow?AWith age and long-term use, teeth naturally darken—much like skin losing its youthful glow over time. This change is inevitable.
-
3QWhat can I do about yellow teeth?AWhile natural tooth changes are hard to avoid, good oral habits—like rinsing after meals and brushing morning and night—can help slow yellowing.
V I C K O N G D E N T A L
-
Futian XiangJiang
-
Futian HuanXiao
-
Futian KangGu
-
Luohu SanKang
-
Louhu HuanLe
-
Louhu Huixiao
-
Louhu Jiale
-
Zhuhai Vickong